Примеры работ

Имплантация всех зубов

Имплантация

Удаление всех зубов с одномоментной имплантацией

Челюстно-лицевой хирург, имплантолог: Меликов Эльвин Аббасалиевич.

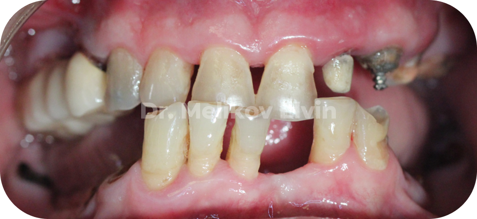
Вид в полости рта перед началом реабилитации
После полной реабилитации

Этапы имплантации.

Удаление всех зубов и установка 8 дентальных имплантатов Dentium.
Верхняя челюсть
Нижняя челюсть
Ортопедические коронки на винтовой фиксации для нижней челюсти.
Балочная конструкция с замками МК1
с опорой на дентальные имплантаты
Имплантация зубов