Одномоментная имплантация системой Штрауманн (Straumann) BLT.
Челюстно-лицевой хирург, имплантолог: Меликов Эльвин Аббасалиевич.
История болезни: Получил травму в области первого квадранта верхней челюсти. Произошёл перелом коронковой части зуба 1.1 с частичным переломом вестибулярной стенки альвеолярного отростка в проекции корня зуба.
История болезни: Получил травму в области первого квадранта верхней челюсти. Произошёл перелом коронковой части зуба 1.1 с частичным переломом вестибулярной стенки альвеолярного отростка в проекции корня зуба.
Этапы имплантации.
Хирургический этап.
Удаление зуба 1.1, одномоментная дентальная имплантация. Костная пластика дефекта. Аугментация соединительно-тканного трансплантата.
После установки дентального имплантата с одномоментной костной и мягко-тканной аугментацией.
После установки дентального имплантата с одномоментной костной и мягко-тканной аугментацией.
Коронковая часть удалённого зуба была припасована в зону дентальной имплантации, для предсказуемого эстетического результата. Вид сразу после операции.
Ортопедический этап.
Через 6 месяцев после операции. Снятие оттиска трансфером для открытой ложки.
Подбор цвета.
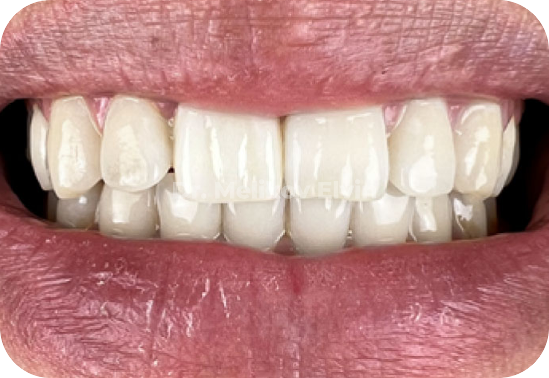
Окончательный результат реабилитации.