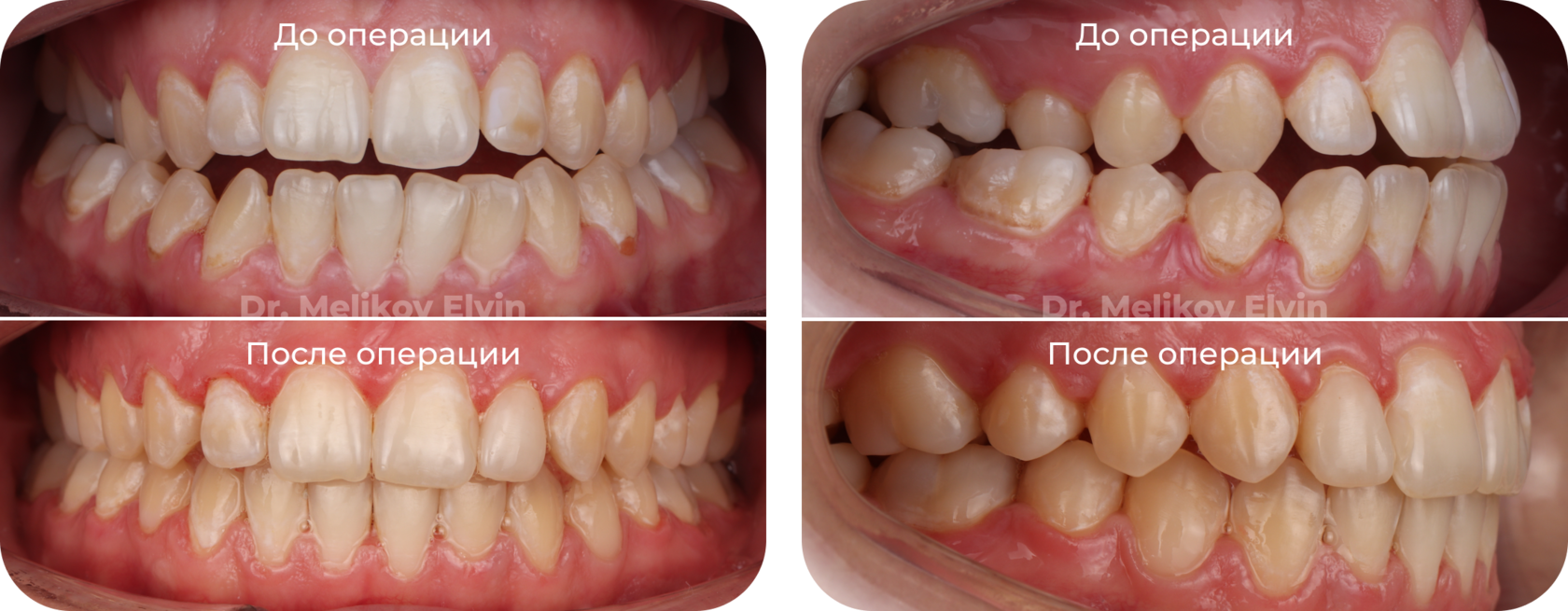
Ортогнатическая операция при мезиальном прикусе.
Пациентка обратилась с жалобами на эстетический дефект и затруднение при приёме пищи.
🔹Диагноз:
3 скелетный класс зубочелюстных аномалий. Мезиальная окклюзия.
🔹1 этап
Ортодонтическая подготовка к ортогнатической операции.
🔹Диагноз:
3 скелетный класс зубочелюстных аномалий. Мезиальная окклюзия.
🔹1 этап
Ортодонтическая подготовка к ортогнатической операции.
🔹2 этап
Двухчелюстная ортогнатическая операция:
- Остеотомия верхней челюсти по ЛеФор I.
- Межкортикальная остеотомия нижней челюсти, с постановкой в ортогнатический прикус.
🔹3 этап
Ортодонтическое лечение.
Ортодонт: Кадыраджиев Артур Мурадович.
Челюстно-лицевой хирург: Меликов Эльвин Аббасалиевич.
Двухчелюстная ортогнатическая операция:
- Остеотомия верхней челюсти по ЛеФор I.
- Межкортикальная остеотомия нижней челюсти, с постановкой в ортогнатический прикус.
🔹3 этап
Ортодонтическое лечение.
Ортодонт: Кадыраджиев Артур Мурадович.
Челюстно-лицевой хирург: Меликов Эльвин Аббасалиевич.
Фотографии до ортогнатической операции.
Фотографии после ортогнатической операции.
Фотографии до и после ортогнатической операции.
Фотографии прикуса до и после ортогнатической операции.