Дистракционный метод расширения верхней челюсти.
Пациентка была направлена ортодонтом для увеличения объёма верхней челюсти по трансверзали, с целью дальнейшего рационального ортодонтического лечения.
🔹Диагноз:
Сужение верхней челюсти. Заболевание врожденное.
🔹Лечение:
1 этап : Остеотомия верхней челюсти по Ле Фор I и срединному небному шву с установкой и активацией небного дистракционного аппарата.
2 этап: Ортодонтическое лечение.
Ортодонт: Кадыраджиев Артур Мурадович
Челюстно-лицевой хирург: Меликов Эльвин Аббасалиевич.
🔹Диагноз:
Сужение верхней челюсти. Заболевание врожденное.
🔹Лечение:
1 этап : Остеотомия верхней челюсти по Ле Фор I и срединному небному шву с установкой и активацией небного дистракционного аппарата.
2 этап: Ортодонтическое лечение.
Ортодонт: Кадыраджиев Артур Мурадович
Челюстно-лицевой хирург: Меликов Эльвин Аббасалиевич.
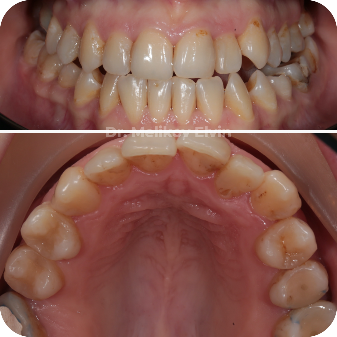
Фотографии до операции по расширению верхней челюсти.
КТ до операции
На этапе расширения.
На этапе ортодонтического лечения:
Закрытие диастемы и нормализация зубных рядов
Закрытие диастемы и нормализация зубных рядов
До и после лечения