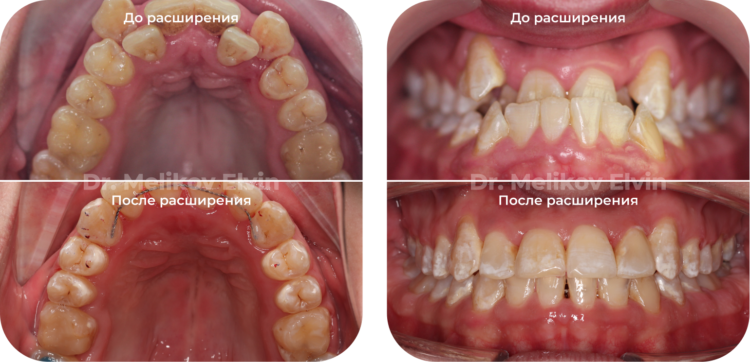
Дистракционный метод расширения верхней челюсти.
Пациент был направлен ортодонтом для увеличения объёма верхней челюсти с целью дальнейшего рационального ортодонтического лечения.
🔹Диагноз:
Сужение верхней челюсти.
🔹Лечение:
1 этап : Остеотомия верхней челюсти по Ле Фор I и срединному небному шву с установкой и активацией небного дистракционного аппарата.
2 этап: Ортодонтическое лечение.
Ортодонт: Лукашин Вячеслав Владимирович.
Челюстно-лицевой хирург: Меликов Эльвин Аббасалиевич.
🔹Диагноз:
Сужение верхней челюсти.
🔹Лечение:
1 этап : Остеотомия верхней челюсти по Ле Фор I и срединному небному шву с установкой и активацией небного дистракционного аппарата.
2 этап: Ортодонтическое лечение.
Ортодонт: Лукашин Вячеслав Владимирович.
Челюстно-лицевой хирург: Меликов Эльвин Аббасалиевич.
Фотографии до операции по расширению верхней челюсти.
Фотографии прикуса до и после операции по расширению верхней челюсти.