Имплантация зубов при патологии прикуса
Протезирование с опорой на дентальный имплантат при неправильном прикусе не имеет долгосрочных перспектив.
Неправильное распределение нагрузки приведет к убыли костной ткани вокруг дентального имплантата, вживленного в кость, и тем самым уменьшится срок его службы. Но даже если и компенсаторные силы организма на хорошем уровне, то коронка, которая фиксирована на дентальный имплантат может скалываться.
❗️Перед имплантацией, важно пройти диагностику состояния прикуса, чтобы в дальнейшем избежать осложнений.
Неправильное распределение нагрузки приведет к убыли костной ткани вокруг дентального имплантата, вживленного в кость, и тем самым уменьшится срок его службы. Но даже если и компенсаторные силы организма на хорошем уровне, то коронка, которая фиксирована на дентальный имплантат может скалываться.
❗️Перед имплантацией, важно пройти диагностику состояния прикуса, чтобы в дальнейшем избежать осложнений.
Планирование лечения
Планирование лечения зависит от многих факторов: степени деформации прикуса, количества отсутствующих зубов, состояния костной ткани, состояния корней, эстетических ожиданий пациента.
После диагностики определяется объем лечения: ортодонтическое лечение (на локальном участке или полноценное), в некоторых случаях ортогнатическая операция.
Последовательность коррекции прикуса и имплантации определяется объемом лечения. В одном случае имплантаты служат опорой для последующего лечения на брекет-системе. В другом, для начала нужно пройти ортодонтическое лечение, для создания места под имплантацию.
После диагностики определяется объем лечения: ортодонтическое лечение (на локальном участке или полноценное), в некоторых случаях ортогнатическая операция.
Последовательность коррекции прикуса и имплантации определяется объемом лечения. В одном случае имплантаты служат опорой для последующего лечения на брекет-системе. В другом, для начала нужно пройти ортодонтическое лечение, для создания места под имплантацию.
В каких случаях возможно обойтись без ортодонтического лечения?
При незначительной деформации и если есть условия для имплантации.
При желании в будущем исправить положение зубов, имплантат будет ограничивать возможности коррекции. Искусственные корни неподвижны, в отличие от собственных. Также установленные ранее коронки нужно будет заменить под новый прикус.
При желании в будущем исправить положение зубов, имплантат будет ограничивать возможности коррекции. Искусственные корни неподвижны, в отличие от собственных. Также установленные ранее коронки нужно будет заменить под новый прикус.
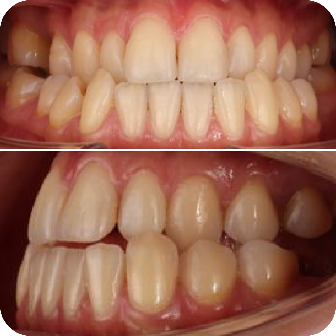
Клинический случай
🔹 Пациентка обратилась с целью стоматологической реабилитации с использованием дентальных имплантатов.
🔹 Жалобы на отсутствие зуба 1.5 и 3.6, которые были потеряны вследствие осложнения кариеса.
❗️Выявлена аномалия прикуса.
🔹 Жалобы на отсутствие зуба 1.5 и 3.6, которые были потеряны вследствие осложнения кариеса.
❗️Выявлена аномалия прикуса.
Рекомендованное лечение:
1) Коррекция прикуса с помощью ортодонтического лечения и ортогнатической операции.
2) Дентальная имплантация и протезирование.
1) Коррекция прикуса с помощью ортодонтического лечения и ортогнатической операции.
2) Дентальная имплантация и протезирование.