Сроки ортодонтической подготовки к ортогнатической операции.
Ортодонтическая подготовка к операции занимает 9–12 месяцев. Срок может меняться в зависимости от индивидуальных особенностей пациента.
Во время подготовки к операции зубные ряды выставляют в положение, соответствующее правильному прикусу после перемещения челюстей.
После подготовки удобнее и правильнее планируются этапы проведения операции.
Ортодонтическая подготовка необходима для достижения предсказуемого и стабильного результата.
Во время подготовки к операции зубные ряды выставляют в положение, соответствующее правильному прикусу после перемещения челюстей.
После подготовки удобнее и правильнее планируются этапы проведения операции.
Ортодонтическая подготовка необходима для достижения предсказуемого и стабильного результата.
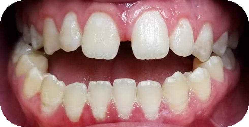
До лечения.
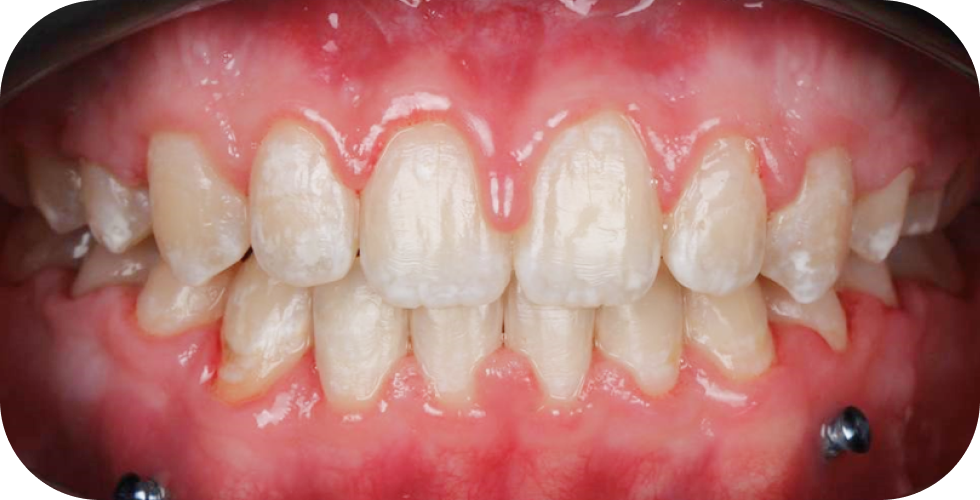
Во время ортодонтической подготовки
После операции и ортодонтической коррекции..