Лечение артроза ВНЧС 2 степени, с болевым синдромом, с помощью сплинт-терпии.
Гнатолог: Меликов Эльвин Аббасалиевич.
Описание случая
🔹Пациентка обратилась с жалобами на:
- Боль и дискомфорт в области ВНЧС
- Щелчки и боль при открывании рта
🔹При осмотре выявлено:
- Гипертонус жевательной мускулатуры
- Множественные фиссурно-бугорковые контакты отсутствуют
- Девиация челюсти (отклонение от траектории)
- Щелчки
- Боль
🔹Дополнительные методы исследования:
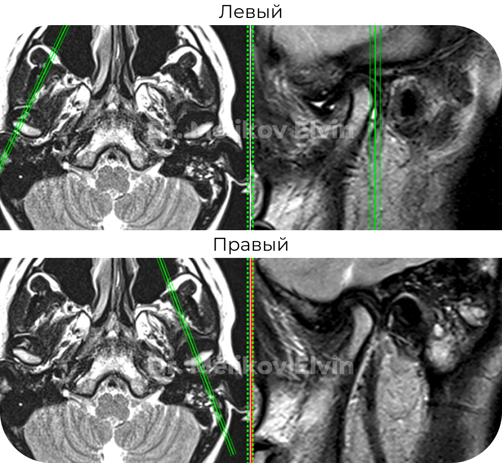
- МРТ диагностика
🔹Диагноз:
- Внутренние нарушения ВНЧС. Артроз 2 степени ВНЧС. Болевой синдром дисфункции.
🔹Лечение:
- Функциональная диагностика и лечение на окклюзионно-стабилизирующим аппарате (сплинт-терапия)
🔹Рекомендовано:
- Рациональное ортодонтическое лечение
- Боль и дискомфорт в области ВНЧС
- Щелчки и боль при открывании рта
🔹При осмотре выявлено:
- Гипертонус жевательной мускулатуры
- Множественные фиссурно-бугорковые контакты отсутствуют
- Девиация челюсти (отклонение от траектории)
- Щелчки
- Боль
🔹Дополнительные методы исследования:
- МРТ диагностика
🔹Диагноз:
- Внутренние нарушения ВНЧС. Артроз 2 степени ВНЧС. Болевой синдром дисфункции.
🔹Лечение:
- Функциональная диагностика и лечение на окклюзионно-стабилизирующим аппарате (сплинт-терапия)
🔹Рекомендовано:
- Рациональное ортодонтическое лечение
Осмотр ДО лечения
Магнитно-резонансная томография ДО лечения. Заключение:
МР-картина может соответствовать дисфункции височно-нижнечелюстного сустава, за счет частичной вентральной дислокации правого суставного диска с редукцией при открытии рта (подвывих), полной вентральной дислокации левого суставного диска без редукции при открытии рта (вывих).
Признаки артроза 2 степени ВНЧС справа и слева.
Признаки артроза 2 степени ВНЧС справа и слева.
2 месяца ношения капы (сплинт-терапии)
КТ ПОСЛЕ лечения