Безоперационное лечение перелома правого мыщелкового отростка нижней челюсти у ребенка 7 лет
Гнатолог: Меликов Эльвин Аббасалиевич.
Описание случая
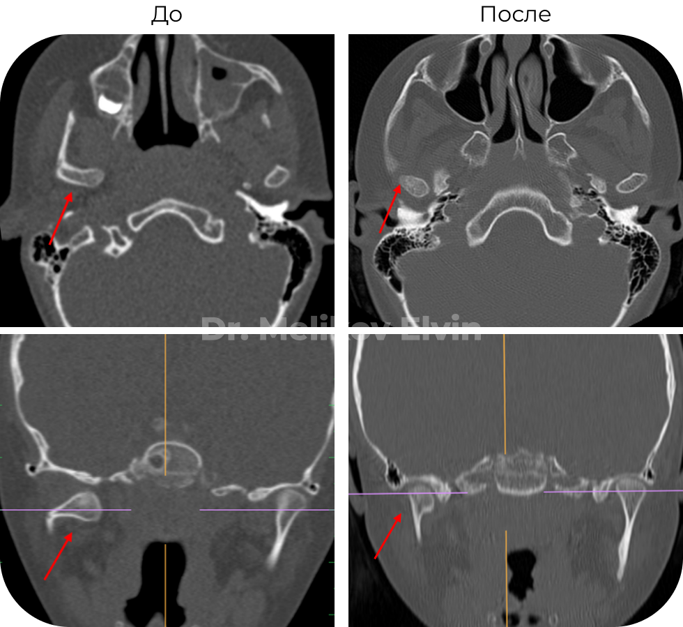
🔹История болезни: Девочка (7 лет) упала на детской площадке, ударилась подбородком.
🔹Диагноз: Перелом правого мыщелкового отростка нижней челюсти.
🔹План лечения: Изготовление разобщающей стабилизирующей капы с целью создания дистракции в правом ВНЧС.
🔹Что получили: При дистракции правого внчс, под действием мышц, отросток репонировался и произошла полная консолидация.
🔹Диагноз: Перелом правого мыщелкового отростка нижней челюсти.
🔹План лечения: Изготовление разобщающей стабилизирующей капы с целью создания дистракции в правом ВНЧС.
🔹Что получили: При дистракции правого внчс, под действием мышц, отросток репонировался и произошла полная консолидация.
До и после лечения
До и после лечения
Обычно, в таких случаях, предлагают провести хирургическое вмешательство в объеме остеосинтеза мыщелкового отростка. Чтобы добраться к костным структурам, необходимо будет провести разрезы мягких тканей , в том числе и самой капсулы сустава. Не стоит так же забывать, что это ребёнок 7-8 лет, и при такой хирургии нарушаются зоны роста, что впоследствии может стать причиной асимметричный деформации челюстей, а еще хуже необратимых изменений в суставе. Протокол лечения таких детишек оставляет желать лучшего.
Изучив объем отечественной и зарубежной литературы выявили один из перспективных методов лечения. ⤵️
На кафедре Детской ЧЛХ Российского университета медицины изготовили специальную окклюзионную пластинку по индивидуальным параметрам, которая дала возможность провести дистракцию в суставе и безоперационно стать причиной реабилитации данного ребёнка. Результат на лицо!
Изучив объем отечественной и зарубежной литературы выявили один из перспективных методов лечения. ⤵️
На кафедре Детской ЧЛХ Российского университета медицины изготовили специальную окклюзионную пластинку по индивидуальным параметрам, которая дала возможность провести дистракцию в суставе и безоперационно стать причиной реабилитации данного ребёнка. Результат на лицо!